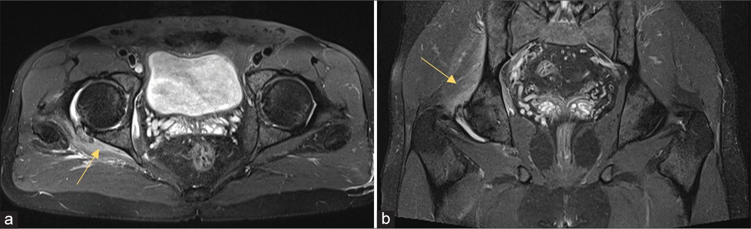
Hydroxyapatite Deposition Disease and Erosion Deposition Guide
Hydroxyapatite Deposition Disease, Erosion and Deposition, and Related Medical Conditions Hydroxyapatite deposition disease (HADD) is a medical condition characterized by the abnormal accumulation of calcium hydroxyapatite crystals in soft tissues…
Valid Reasons to Get Out of a Subpoena: A Practical Legal Guide
Valid Reasons to Get Out of a Subpoena: A Practical Legal Guide There are valid reasons to get out of a subpoena, but most of them require prompt action and…
Free Music for Podcasts, Subpoena for Medical Records, Text Editor for Chromebook, and More
Free Music for Podcasts, Subpoena for Medical Records, Text Editor for Chromebook, and More This guide covers several unrelated but commonly searched topics: free music for podcasts, legal procedures around…
Eugenia Cooney Obituary Rumors, Newspaper Emoji, Supreme Court Podcast, and Subpoena vs Court Order
Eugenia Cooney Obituary Rumors, Newspaper Emoji, Supreme Court Podcast, and Subpoena vs Court Order The repeated search for a eugenia cooney obituary reflects a persistent online rumor cycle — Eugenia…
Deposition Objections: Cheat Sheet, Duces Tecum, Texas Style, and the Lil Wayne Deposition
Deposition Objections: Cheat Sheet, Duces Tecum, Texas Style, and the Lil Wayne Deposition Deposition objections are formal statements made by an attorney during a deposition to preserve issues for trial,…
Supporting Deposition: What It Is, Notice of Taking Deposition, Justin Bieber Deposition, and Pulsed Laser
Supporting Deposition: What It Is, Notice of Taking Deposition, Justin Bieber Deposition, and Pulsed Laser A supporting deposition is a sworn written statement that provides additional factual detail corroborating an…











